Sign in
Join
Good News
Horoscopes
USA
World
Inspiring
Animals
Laughs
Good Earth
Heroes
Kids
Self-Help
Founders Blog
Science
Health
Arts & Leisure
Celebrities
Sports
Religion
Reviews
At Home
Business
Top Videos
Good Talks
Good Gardening
Good Life
Good Business
Good Health
GNN Podcast
Good Gifts
Get Involved
Members
Become a Member
Submit Your Own Good News
Submit a News Link or Photo
Gift Memberships
GNN Merch
About Us
About Us
New Book
Good News App
Founder’s Blog
Contact
Press
RSS Feeds
Legal
Español
Sign in
Welcome!
Log into your account
your username
your password
Forgot your password?
Sign up
Welcome!
Register for an account
your email
your username
A password will be e-mailed to you.
Password recovery
Recover your password
your email
Search
Sign in /
Join
Cart
Sign in
Welcome! Log into your account
your username
your password
Forgot your password? Get help
Create a Free Account
Create a Free Account
and join the GNN community!
your email
your username
A password will be e-mailed to you.
Password recovery
Recover your password
your email
A password will be e-mailed to you.
Good News Network
Good News
All
Horoscopes
USA
World
Inspiring
Animals
Laughs
Good Earth
Heroes
Kids
Self-Help
Founders Blog
Science
Health
Arts & Leisure
Celebrities
Sports
Religion
Reviews
At Home
Business
Top Videos
Heroes
Father Saves 10 from Bar Fire at Swiss New Year’s Party After Frantic Call from His Daughter
Health
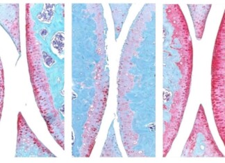
Anti-Aging Drug Regrows Knee Cartilage in Major Breakthrough That Could End Knee Replacements
Inspiring
Hospital Technician Lends His X-Ray Machine to Help Woman Find Lost Heirloom Rings
Animals
Zero Rhinos Poached in India’s Stronghold for the Second Year on Record
Good Talks
All
Good Gardening
Good Life
Good Business
Good Health
GNN Podcast
Good Life
The Science of How Your Brain Forms Habits (and How to Take Control)
Good Life
How To Love Yourself: 5 Ways to Let Go of the River Bank and Go With the Flow
Good Gardening
Good Gardening Week 15: All About Spring Flowers—Plus Last Week’s Early Growing Images
Good Talks
GNN Founder Talks With BBC World Service About Positive News in the Media Landscape (Listen)
Good Gifts
Affiliates
All Your Nutrition in a Daily Drink That Also Feeds Hungry Kids
Affiliates
GNN Paperback Book: “And Now, The Good News”
Affiliates
Holistic Patches Relieve Anxiety, Cramps, or Nausea – Without Drugs
Affiliates
The Heartwarming Feel-Good Book We All Need
Affiliates
‘Within Good’ – Reminder Bracelet
Get Involved
Members
Become a Member
Submit Your Own Good News
Submit a News Link or Photo
Gift Memberships
GNN Merch
About Us
About Us
New Book
Good News App
Founder’s Blog
Contact
Press
RSS Feeds
Legal
Español
Español
Un Mapa te Permite Ver Como tu Hogar se ha Movido por el Continente en estos 750 Millones de Años
Español
Las Playas han Visto un Incremento Enorme en Anidación de Tortugas Laúd Después de las Restricciones a los Turistas en Tailandia y Florida
Español
Mira Mil Millones de Años de Movimiento de Placas Tectónicas Formando Nuestros Continentes en 40 Segundos
Español
Un Pingüino Salta en un Bote para Evitar ser Comido por una Ballena Asesina – MIRA el Video
Español
El Diseñador de Nueva Zelanda Crea un Ingenioso Tragaluz con Energía Solar que Desaliniza el Agua para Beber
Good News
Good Talks
Good Gifts
Home
All News
All News
Horoscopes
USA
World
Inspiring
Animals
Laughs
Good Earth
Heroes
Kids
Self-Help
Founders Blog
Science
Health
Arts & Leisure
Celebrities
Sports
Religion
Reviews
At Home
Business
Top Videos
Latest
Latest
Featured posts
Most popular
7 days popular
By review score
Random
Father Saves 10 from Bar Fire at Swiss New Year’s Party After Frantic Call from His Daughter
Jan 5, 2026
Heroes
Anti-Aging Drug Regrows Knee Cartilage in Major Breakthrough That Could End Knee Replacements
Jan 5, 2026
Health
Hospital Technician Lends His X-Ray Machine to Help Woman Find Lost Heirloom Rings
Jan 5, 2026
Inspiring
Zero Rhinos Poached in India’s Stronghold for the Second Year on Record
Jan 5, 2026
Animals
Man Proposes Marriage by Editing Himself into Shrek Wedding Scene – Perfect For This Couple (WATCH)
Jan 4, 2026
Laughs
The Wild and Wacky Animal Rescues of 2025 Made the RSPCA Staff True Heroes
Jan 4, 2026
Animals
80-yo Retired Teacher Bests Disease and Injury to Become Oldest Female Hiker to Finish Appalachian Trail
Jan 4, 2026
USA
Massive Whale Shocks Divers Watching a Fish-Feeding Frenzy: ‘Did That Just Happened to Us?’
Jan 4, 2026
Animals
Rescue Dog Leading 19 Buddhist Monks on 2,300 Mile Peace Walk Across the US
Jan 3, 2026
USA
Tiny Baby Born With Hands Smaller Than a Fingertip is Now Home After a Year–And Developing Normally
Jan 3, 2026
Inspiring
Thousands of Positive Messages Rained Down with Times Square Confetti to Ring in the New Year
Jan 3, 2026
USA
New Year 2026 Weekly Horoscope – ‘Free Will Astrology’ by Rob Brezsny
Jan 3, 2026
Horoscopes
Moss is So Unique it’s Acted Like Fingerprints to Help Solve a Dozen Crimes
Jan 2, 2026
Science
2025 Was ‘Year of the Octopus’ Says UK Wildlife Trust, Amid Record Cephalopod Sightings
Jan 2, 2026
Animals
Hungary’s Famous Thermal Baths Are Saving the Country’s Famous Grasslands from Desertification
Jan 2, 2026
World
January Stargazing Offers the Best Time of the Year to See Jupiter and its Moons
Jan 2, 2026
Arts & Leisure
‘It Feels Like Me Again’: World’s First Arm Exoskeleton Gives Stroke Patients Independence
Jan 1, 2026
Health
Western Tatami Mat Mania Keeping Alive Japan’s Traditional Woven Grass Flooring Industry
Jan 1, 2026
World
4,500 years ago, Worship of the Sun Took Place in This Recently-Uncovered Temple in Egypt
Jan 1, 2026
World
Young Atlantic Salmon Seen in Three English Rivers for First Time in a Decade
Jan 1, 2026
Animals
1
2
3
...
1,438
Page 1 of 1,438